Somos un campus sanitario de referencia que comprende todos los campos de la salud: la asistencia, la investigación, la docencia y la gestión.
La profesionalidad, el compromiso y la investigación de los profesionales del Campus son elementos clave para poder ofrecer una asistencia excelente.
Apostamos por la investigación como herramienta para aportar soluciones a los retos que nos encontramos día a día en el campo de la asistencia médica.
Gracias a nuestro personal asistencial, docente y de investigación trabajamos para incorporar nuevos conocimientos para generar valor en los pacientes, a los profesionales y a la misma organización.
Generamos, transformamos y transmitimos conocimiento en todos los ámbitos de las ciencias de la salud para formar a los futuros profesionales.
La vocación de comunicación nos define. Te abrimos la puerta a todo lo que pasa en el Vall d'Hebron Barcelona Hospital Campus y te animamos a compartirlo.
Donación para hospital
Donación para investigación
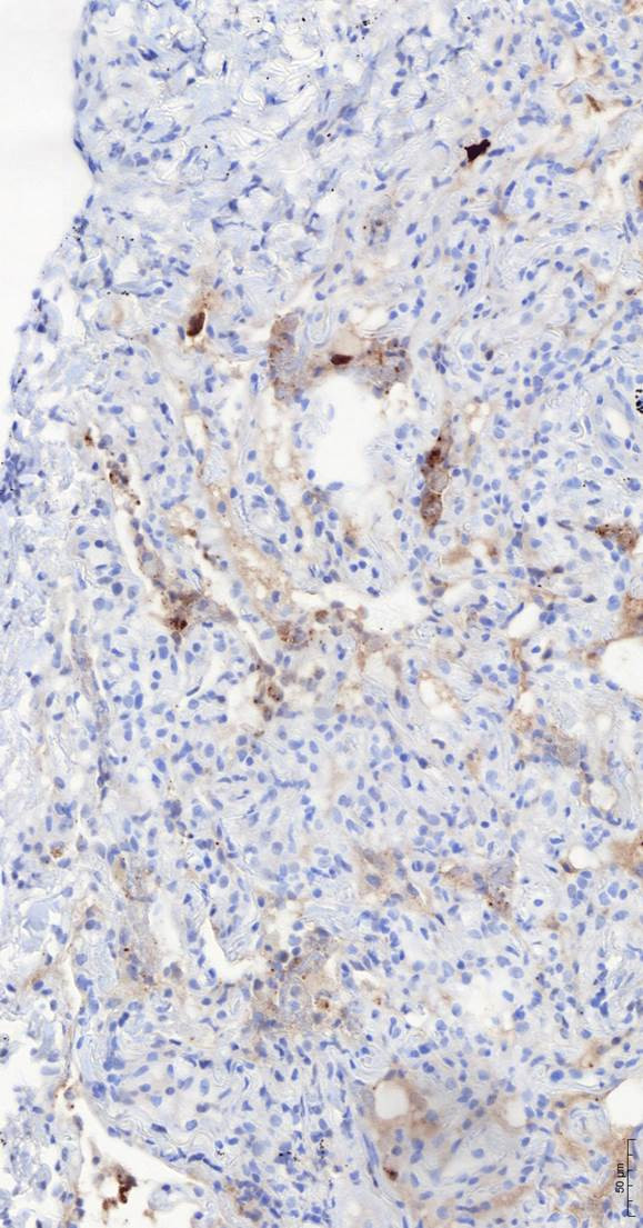
El Servicio de Anatomía Patológica estudia en muestras de tejido pulmonar la persistencia del SARS-CoV-2.
El Servicio de Anatomía Patológica ha optimizado la identificación del SARS-CoV-2 en muestras tisulares de pulmón, tanto de pacientes fallecidos como en seguimiento por la COVID-19, con el objetivo de saber en qué células persiste el virus tras las secuelas que pueden padecer estos pacientes. Los profesionales de Vall d’Hebron están identificando el SARS-CoV-2 por técnicas de inmunohistoquímica, hibridación in situ y PCR de tejido pulmonar, además de estudiar el virus por microscopia electrónica. “Nos encontramos a pacientes que ya son PCR negativos en el frotis nasofaríngeo y en cambio tienen secuencias víricas en el interior de los pulmones, lo estamos estudiando”, explica el Dr. Santiago Ramon y Cajal, jefe del Servicio de Anatomía Patológica.
La inmunohistoquímica permite identificar proteínas virales en los diferentes tejidos. Es una técnica que se basa en la incubación del tejido tisular con anticuerpos que se unen de manera específica a las proteínas de interés, evaluándose el resultado con un microscopio óptico. Respecto a la hibridación in situ, permite a los profesionales de anatomía patológica visualizar las secuencias del virus en las secciones de tejido pulmonar e identificar las células que tienen del virus. “No se trata sólo de pruebas diagnósticas, nos interesan particularmente en el seguimiento de estos pacientes ya que se calcula que un 20% de los que han sobrevivido después de una neumonía a causa de la COVID-19 tendrán secuelas pulmonares”, expone el Dr. Santiago Ramon y Cajal.
La aceptación de estas condiciones supone que dais el consentimiento al tratamiento de vuestros datos personales para la prestación de los servicios que solicitáis a través de este portal y, si procede, para realizar las gestiones necesarias con las administraciones o entidades públicas que intervengan en la tramitación. Podéis ejercer los derechos mencionados dirigiéndoos por escrito a web@vallhebron.cat, indicando claramente en el asunto “Ejercicio de derecho LOPD”.Responsable: Hospital Universitario Vall d’Hebron (Instituto Catalán de la Salud).Finalidad: Suscripción al boletín del Vall d’Hebron Barcelona Hospital Campus, donde recibiréis noticias, actividades e información de interés.Legitimación: Consentimiento del interesado.Cesión: Sí procede, VHIR. No se prevé ninguna otra cesión. No se prevé transferencia internacional de datos personales.Derechos: Acceso, rectificación, supresión y portabilidad de los datos, así como limitación y oposición a su tratamiento. El usuario puede revocar su consentimiento en cualquier momento.Procedencia: El propio interesado.Información adicional: La información adicional se encuentra en https://hospital.vallhebron.com/es/politica-de-proteccion-de-datos.